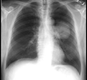
既往健康的68岁男性患者,吸烟40年,因咳嗽,反复肺部感染,于门诊抗炎治疗近1年,胸部X线复查如图所示,形态不规则,边缘不整齐,收入院进 一步检查治疗。 ...

作者: rantiku 人气: - 评论: 0
问题 既往健康的68岁男性患者,吸烟40年,因咳嗽,反复肺部感染,于门诊抗炎治疗近1年,胸部X线复查如图所示,形态不规则,边缘不整齐,收入院进 一步检查治疗。 根据其病史,体检,X线表现,该患者肺癌的病理类型可能是 ( )
选项 A、大细胞癌 B、混合性癌 C、小细胞癌 D、腺癌 E、鳞状细胞癌
答案 E
解析

猜你喜欢

发表评论
更多 网友评论0 条评论)
暂无评论

访问排行

Copyright © 2012-2014 恰考网 Inc. 保留所有权利。 Powered by tikuer.com

页面耗时0.0500秒, 内存占用1.03 MB, Cache:redis,访问数据库20次