男,64岁,患糖尿病,最近三天出现发热,伴颈静脉显露,结合CT图像,选择最可能的诊断 ( )A、恶性畸胎瘤B、纵隔脓肿C、纵隔淋巴瘤 ...

作者: rantiku 人气: - 评论: 0
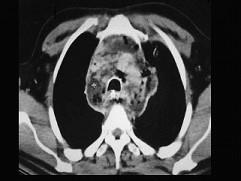
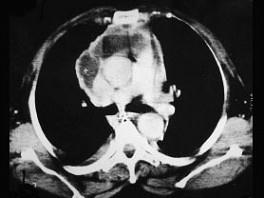
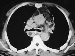
问题 男,64岁,患糖尿病,最近三天出现发热,伴颈静脉显露,结合CT图像,选择最可能的诊断 ( )
选项 A、恶性畸胎瘤 B、纵隔脓肿 C、纵隔淋巴瘤 D、侵袭性胸腺瘤 E、坏死性纵隔炎
答案 E
解析

猜你喜欢

发表评论
更多 网友评论0 条评论)
暂无评论

访问排行

Copyright © 2012-2014 恰考网 Inc. 保留所有权利。 Powered by tikuer.com

页面耗时0.0564秒, 内存占用1.03 MB, Cache:redis,访问数据库18次