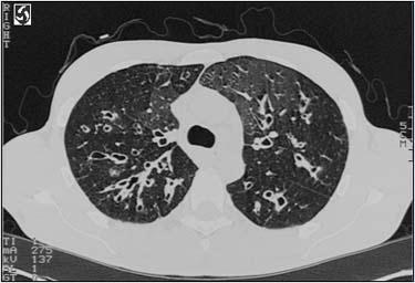
患者,男性,因咳嗽、咳痰来院就诊,胸部CT如图所示,最可能的诊断是 ( )A、肺结核B、肺癌C、肺大疱D、支气管扩张E、肺炎

作者: rantiku 人气: - 评论: 0
问题 患者,男性,因咳嗽、咳痰来院就诊,胸部CT如图所示,最可能的诊断是 ( )
选项 A、肺结核 B、肺癌 C、肺大疱 D、支气管扩张 E、肺炎
答案 D
解析

猜你喜欢

发表评论
更多 网友评论0 条评论)
暂无评论

访问排行

Copyright © 2012-2014 恰考网 Inc. 保留所有权利。 Powered by tikuer.com

页面耗时0.0407秒, 内存占用1.03 MB, Cache:redis,访问数据库18次