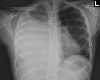
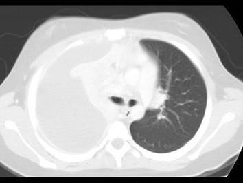
下列图像最佳诊断是什么 ( )A、肺癌B、肺结核C、气胸D、肺不张E、脓胸

作者: rantiku 人气: - 评论: 0
问题 下列图像最佳诊断是什么 ( )
选项 A、肺癌 B、肺结核 C、气胸 D、肺不张 E、脓胸
答案 E
解析

猜你喜欢

发表评论
更多 网友评论0 条评论)
暂无评论

访问排行

Copyright © 2012-2014 恰考网 Inc. 保留所有权利。 Powered by tikuer.com

页面耗时0.0410秒, 内存占用1.02 MB, Cache:redis,访问数据库14次