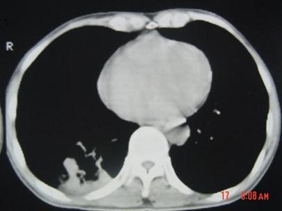
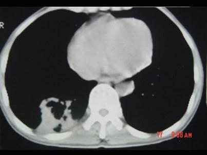
男,40岁,胸背疼痛一周,消瘦一月,CT检查如图,最可能的诊断为 ( )A、右下肺肺泡癌B、右下肺炎性假瘤C、右下肺脓肿D、右...

作者: rantiku 人气: - 评论: 0
问题 男,40岁,胸背疼痛一周,消瘦一月,CT检查如图,最可能的诊断为 ( )
选项 A、右下肺肺泡癌 B、右下肺炎性假瘤 C、右下肺脓肿 D、右下肺炎 E、右下肺结核
答案 A
解析

猜你喜欢

发表评论
更多 网友评论0 条评论)
暂无评论

访问排行

Copyright © 2012-2014 恰考网 Inc. 保留所有权利。 Powered by tikuer.com

页面耗时0.1437秒, 内存占用1.02 MB, Cache:redis,访问数据库14次