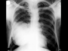
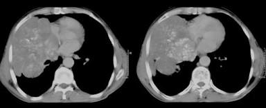
50岁,男性,右侧胸痛、咳嗽、咯血3个月,请结合图像选择最可能的诊断 ( )A、胸膜间皮瘤B、韦格肉芽肿C、肺结核D、肺癌E、纵隔肿瘤

作者: rantiku 人气: - 评论: 0
问题 50岁,男性,右侧胸痛、咳嗽、咯血3个月,请结合图像选择最可能的诊断 ( )
选项 A、胸膜间皮瘤 B、韦格肉芽肿 C、肺结核 D、肺癌 E、纵隔肿瘤
答案 D
解析

猜你喜欢

发表评论
更多 网友评论0 条评论)
暂无评论

访问排行

Copyright © 2012-2014 恰考网 Inc. 保留所有权利。 Powered by tikuer.com

页面耗时0.0390秒, 内存占用1.03 MB, Cache:redis,访问数据库19次