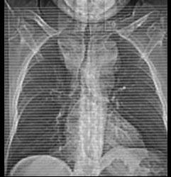
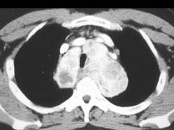
男,41岁,体检X线提示纵隔增宽,CT检查如图,请选出最可能的诊断 ( )A、间皮囊肿B、胸内甲状腺肿C、纵隔畸胎瘤D、胸腺瘤E、淋巴瘤

作者: rantiku 人气: - 评论: 0
问题 男,41岁,体检X线提示纵隔增宽,CT检查如图,请选出最可能的诊断 ( )
选项 A、间皮囊肿 B、胸内甲状腺肿 C、纵隔畸胎瘤 D、胸腺瘤 E、淋巴瘤
答案 B
解析

猜你喜欢

发表评论
更多 网友评论0 条评论)
暂无评论

访问排行

Copyright © 2012-2014 恰考网 Inc. 保留所有权利。 Powered by tikuer.com

页面耗时0.0455秒, 内存占用1.03 MB, Cache:redis,访问数据库14次