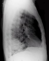
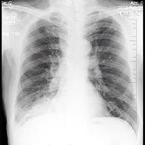
男性,62岁,咳嗽、胸痛一月,X线检查如图,最佳的诊断是 ( )A、右肺转移瘤B、右胸腔积液C、右下肺不张D、右肺癌E、右下肺炎症

作者: rantiku 人气: - 评论: 0
问题 男性,62岁,咳嗽、胸痛一月,X线检查如图,最佳的诊断是 ( )
选项 A、右肺转移瘤 B、右胸腔积液 C、右下肺不张 D、右肺癌 E、右下肺炎症
答案 D
解析

猜你喜欢

发表评论
更多 网友评论0 条评论)
暂无评论

访问排行

Copyright © 2012-2014 恰考网 Inc. 保留所有权利。 Powered by tikuer.com

页面耗时0.0362秒, 内存占用1.03 MB, Cache:redis,访问数据库19次