一养鸽女,48岁,发热,咳嗽,咳脓痰带血半月余,请结合CT检查选出最可能的诊断 ( )A、间质性肺炎B、支气管扩张C、肺曲菌病D、肺癌...

作者: rantiku 人气: - 评论: 0
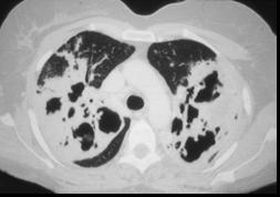
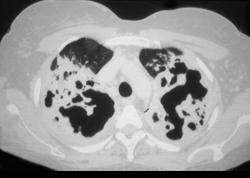
问题 一养鸽女,48岁,发热,咳嗽,咳脓痰带血半月余,请结合CT检查选出最可能的诊断 ( )
选项 A、间质性肺炎 B、支气管扩张 C、肺曲菌病 D、肺癌 E、原发性肺结核
答案 C
解析

猜你喜欢

发表评论
更多 网友评论0 条评论)
暂无评论

访问排行

Copyright © 2012-2014 恰考网 Inc. 保留所有权利。 Powered by tikuer.com

页面耗时0.0528秒, 内存占用1.03 MB, Cache:redis,访问数据库20次