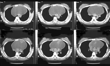
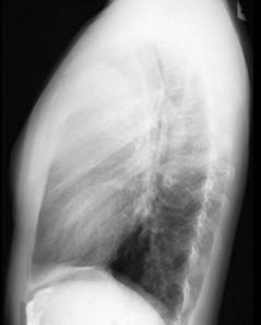
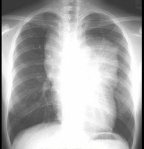
18岁,男,咳嗽头晕一个月,请结合胸片和CT检查,选出最可能的诊断 ( )A、胸内甲状腺瘤B、神经源性肿瘤C、淋巴瘤D、畸胎瘤...

作者: rantiku 人气: - 评论: 0
问题 18岁,男,咳嗽头晕一个月,请结合胸片和CT检查,选出最可能的诊断 ( )
选项 A、胸内甲状腺瘤 B、神经源性肿瘤 C、淋巴瘤 D、畸胎瘤 E、胸腺瘤
答案 D
解析

猜你喜欢

发表评论
更多 网友评论0 条评论)
暂无评论

访问排行

Copyright © 2012-2014 恰考网 Inc. 保留所有权利。 Powered by tikuer.com

页面耗时0.0359秒, 内存占用1.03 MB, Cache:redis,访问数据库17次