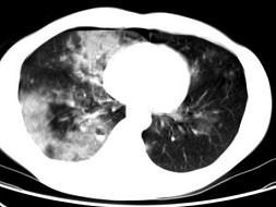
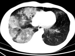
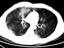
男,28岁,外伤后1小时行胸部CT如图,其最可能的诊断为 ( )A、肺癌B、双肺挫伤C、肺脓肿D、肺囊肿E、肺炎

作者: rantiku 人气: - 评论: 0
问题 男,28岁,外伤后1小时行胸部CT如图,其最可能的诊断为 ( )
选项 A、肺癌 B、双肺挫伤 C、肺脓肿 D、肺囊肿 E、肺炎
答案 B
解析

猜你喜欢

发表评论
更多 网友评论0 条评论)
暂无评论

访问排行

Copyright © 2012-2014 恰考网 Inc. 保留所有权利。 Powered by tikuer.com

页面耗时0.0329秒, 内存占用1.03 MB, Cache:redis,访问数据库18次