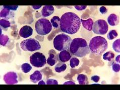
下张骨髓涂片,NAP积分为1分,最可有的诊断是 ( )A、急性淋巴细胞白血病B、溶血性贫血C、类白血病反应D、慢性粒细胞白血病E、急性...

作者: rantiku 人气: - 评论: 0
问题 下张骨髓涂片,NAP积分为1分,最可有的诊断是 ( )
选项 A、急性淋巴细胞白血病 B、溶血性贫血 C、类白血病反应 D、慢性粒细胞白血病 E、急性粒细胞白血病
答案 D
解析

猜你喜欢

发表评论
更多 网友评论0 条评论)
暂无评论

访问排行

Copyright © 2012-2014 恰考网 Inc. 保留所有权利。 Powered by tikuer.com

页面耗时0.0299秒, 内存占用1.03 MB, Cache:redis,访问数据库19次