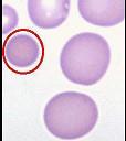
下张外周血涂片圆圈所指细胞达30%,该病人最可能的诊断是 ( )A、刺形红细胞增多症B、遗传性干瘪红细胞增多症C、遗传性椭圆形红细胞增多症...

作者: rantiku 人气: - 评论: 0
问题 下张外周血涂片圆圈所指细胞达30%,该病人最可能的诊断是 ( )
选项 A、刺形红细胞增多症 B、遗传性干瘪红细胞增多症 C、遗传性椭圆形红细胞增多症 D、口形红细胞增多症 E、遗传性球形红细胞增多症
答案 E
解析

猜你喜欢

发表评论
更多 网友评论0 条评论)
暂无评论

访问排行

Copyright © 2012-2014 恰考网 Inc. 保留所有权利。 Powered by tikuer.com

页面耗时0.0341秒, 内存占用1.03 MB, Cache:redis,访问数据库19次