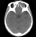
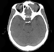
男,53岁,左眼痛,突出3年,请结合影像,选择最可能的诊断 ( )A、眼型Graves病B、良性混合瘤C、骨膜下脓肿D、黏液囊...

作者: rantiku 人气: - 评论: 0
问题 男,53岁,左眼痛,突出3年,请结合影像,选择最可能的诊断 ( )
选项 A、眼型Graves病 B、良性混合瘤 C、骨膜下脓肿 D、黏液囊肿 E、淋巴瘤
答案 D
解析

猜你喜欢

发表评论
更多 网友评论0 条评论)
暂无评论

访问排行

Copyright © 2012-2014 恰考网 Inc. 保留所有权利。 Powered by tikuer.com

页面耗时0.0787秒, 内存占用1.03 MB, Cache:redis,访问数据库18次