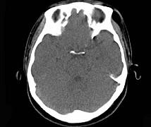
女,31岁,在左眶外上缘发现一包块,质软,余所见无明显异常。如图所示病灶应诊断为 ( )A、表皮样囊肿B、淋巴管瘤C、错构瘤D...

作者: rantiku 人气: - 评论: 0
问题 女,31岁,在左眶外上缘发现一包块,质软,余所见无明显异常。如图所示病灶应诊断为 ( )
选项 A、表皮样囊肿 B、淋巴管瘤 C、错构瘤 D、脂肪瘤 E、畸胎瘤
答案 D
解析

猜你喜欢

发表评论
更多 网友评论0 条评论)
暂无评论

访问排行

Copyright © 2012-2014 恰考网 Inc. 保留所有权利。 Powered by tikuer.com

页面耗时0.0513秒, 内存占用1.03 MB, Cache:redis,访问数据库18次