男,37岁,近半年来视力下降明显,近一个月失明,CT如图所示,最可能的诊断为 ( )A、色素膜神经瘤伴视网膜脱离B、黑色素细胞瘤伴视网...

作者: rantiku 人气: - 评论: 0
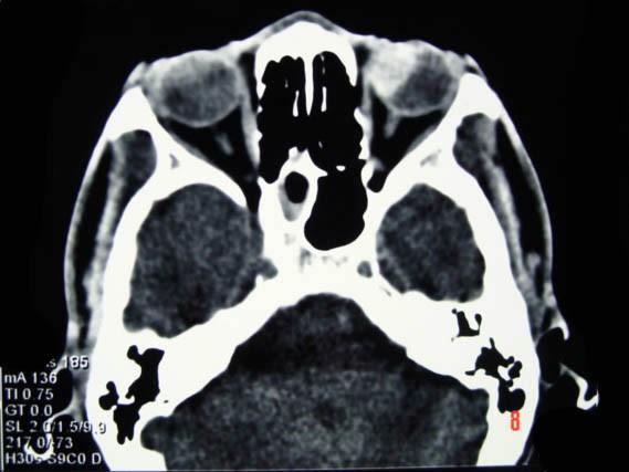
问题 男,37岁,近半年来视力下降明显,近一个月失明,CT如图所示,最可能的诊断为 ( )
选项 A、色素膜神经瘤伴视网膜脱离 B、黑色素细胞瘤伴视网膜脱离 C、色素膜血管瘤伴视网膜脱离 D、色素膜转移瘤伴视网膜脱离 E、色素膜黑色素瘤伴视网膜脱离
答案 E
解析

猜你喜欢

发表评论
更多 网友评论0 条评论)
暂无评论

访问排行

Copyright © 2012-2014 恰考网 Inc. 保留所有权利。 Powered by tikuer.com

页面耗时0.0443秒, 内存占用1.03 MB, Cache:redis,访问数据库17次