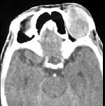
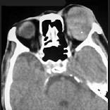
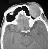
男性45岁,左眼疼痛伴视力下降一个多月,左眼明显外突,CT扫描如图所示,最可能诊断为 ( )A、眶内结核B、眶内转移瘤C、眶内血管...

作者: rantiku 人气: - 评论: 0
问题 男性45岁,左眼疼痛伴视力下降一个多月,左眼明显外突,CT扫描如图所示,最可能诊断为 ( )
选项 A、眶内结核 B、眶内转移瘤 C、眶内血管瘤 D、眶内纤维瘤 E、左侧眶内炎性假瘤
答案 E
解析

猜你喜欢

发表评论
更多 网友评论0 条评论)
暂无评论

访问排行

Copyright © 2012-2014 恰考网 Inc. 保留所有权利。 Powered by tikuer.com

页面耗时0.0364秒, 内存占用1.03 MB, Cache:redis,访问数据库14次