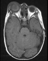
以下关于视网膜母细胞瘤(如图)描述错误的是 ( )A、90%发生于3岁以前B、男性多于女性C、可出现钙化灶D、是儿童最常见的原发性...

作者: rantiku 人气: - 评论: 0
问题 以下关于视网膜母细胞瘤(如图)描述错误的是 ( )
选项 A、90%发生于3岁以前 B、男性多于女性 C、可出现钙化灶 D、是儿童最常见的原发性眼内恶性肿瘤 E、双眼发病约占30%~35%
答案 B
解析

猜你喜欢

发表评论
更多 网友评论0 条评论)
暂无评论

访问排行

Copyright © 2012-2014 恰考网 Inc. 保留所有权利。 Powered by tikuer.com

页面耗时0.0594秒, 内存占用1.03 MB, Cache:redis,访问数据库20次