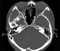
女,25岁,因眼部外伤来院就诊,CT如图所示,最可能诊断是 ( )A、右眼眶内外侧壁骨折伴筛窦积血B、蝶骨骨折伴筛窦积血C、右眼眶...

作者: rantiku 人气: - 评论: 0
问题 女,25岁,因眼部外伤来院就诊,CT如图所示,最可能诊断是 ( )
选项 A、右眼眶内外侧壁骨折伴筛窦积血 B、蝶骨骨折伴筛窦积血 C、右眼眶内侧壁骨折伴筛窦积血 D、右眼眶外侧壁骨折伴筛窦积血 E、右侧颧弓骨折伴筛窦积血
答案 A
解析

猜你喜欢

发表评论
更多 网友评论0 条评论)
暂无评论

访问排行

Copyright © 2012-2014 恰考网 Inc. 保留所有权利。 Powered by tikuer.com

页面耗时0.0432秒, 内存占用1.03 MB, Cache:redis,访问数据库18次