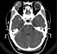
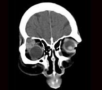
泪腺肿瘤(如图)使眼球 ( )A、向颞上方移位B、向鼻下方移位C、向上方移位D、向颞下方移位E、呈轴性前突

作者: rantiku 人气: - 评论: 0
问题 泪腺肿瘤(如图)使眼球 ( )
选项 A、向颞上方移位 B、向鼻下方移位 C、向上方移位 D、向颞下方移位 E、呈轴性前突
答案 B
解析

猜你喜欢

发表评论
更多 网友评论0 条评论)
暂无评论

访问排行

Copyright © 2012-2014 恰考网 Inc. 保留所有权利。 Powered by tikuer.com

页面耗时0.0366秒, 内存占用1.03 MB, Cache:redis,访问数据库17次