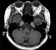
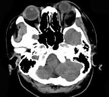
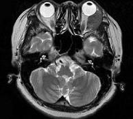
女,52岁,左眼球突出二十余年, T3、T4均正常,影像检查如图所示,应诊断为 ( )A、血管瘤B、炎性假瘤C、脂肪瘤D、畸胎...

作者: rantiku 人气: - 评论: 0
问题 女,52岁,左眼球突出二十余年, T3、T4均正常,影像检查如图所示,应诊断为 ( )
选项 A、血管瘤 B、炎性假瘤 C、脂肪瘤 D、畸胎瘤 E、错构瘤
答案 E
解析

猜你喜欢

发表评论
更多 网友评论0 条评论)
暂无评论

访问排行

Copyright © 2012-2014 恰考网 Inc. 保留所有权利。 Powered by tikuer.com

页面耗时0.0430秒, 内存占用1.03 MB, Cache:redis,访问数据库20次