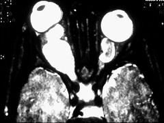
患儿,8岁,因双眼突出,无痛性进展性视力逐渐减退就诊,眼底见视神经萎缩,眼眶CT如图,该患者最可能患 ( )A、神经纤维瘤B、以上都不是C、视...

作者: rantiku 人气: - 评论: 0
问题 患儿,8岁,因双眼突出,无痛性进展性视力逐渐减退就诊,眼底见视神经萎缩,眼眶CT如图,该患者最可能患 ( )
选项 A、神经纤维瘤 B、以上都不是 C、视神经脑膜瘤 D、视乳头血管瘤 E、神经胶质瘤
答案 E
解析

猜你喜欢

发表评论
更多 网友评论0 条评论)
暂无评论

访问排行

Copyright © 2012-2014 恰考网 Inc. 保留所有权利。 Powered by tikuer.com

页面耗时0.0551秒, 内存占用1.03 MB, Cache:redis,访问数据库13次