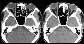
男,36岁,双眼球突出5月余,CT如图所示,应诊断为 ( )A、眶内脑膜瘤B、眶内淋巴瘤C、肌炎型炎性假瘤D、未见异常E、眼型Graves病

作者: rantiku 人气: - 评论: 0
问题 男,36岁,双眼球突出5月余,CT如图所示,应诊断为 ( )
选项 A、眶内脑膜瘤 B、眶内淋巴瘤 C、肌炎型炎性假瘤 D、未见异常 E、眼型Graves病
答案 E
解析

猜你喜欢

发表评论
更多 网友评论0 条评论)
暂无评论

访问排行

Copyright © 2012-2014 恰考网 Inc. 保留所有权利。 Powered by tikuer.com

页面耗时0.0309秒, 内存占用1.03 MB, Cache:redis,访问数据库19次