女性,40岁,右眼反复溢泪伴眼球渐进性突出2年余,眼球运动受限,CT检查如图所示,请选择最可能 ( )A、泪囊血肿B、眶内结核C、...

作者: rantiku 人气: - 评论: 0
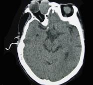
问题 女性,40岁,右眼反复溢泪伴眼球渐进性突出2年余,眼球运动受限,CT检查如图所示,请选择最可能 ( )
选项 A、泪囊血肿 B、眶内结核 C、泪囊囊肿 D、泪腺血肿 E、泪腺囊肿
答案 C
解析

猜你喜欢

发表评论
更多 网友评论0 条评论)
暂无评论

访问排行

Copyright © 2012-2014 恰考网 Inc. 保留所有权利。 Powered by tikuer.com

页面耗时0.0374秒, 内存占用1.03 MB, Cache:redis,访问数据库18次