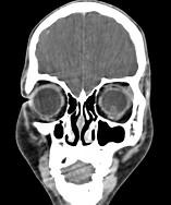
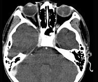
女性,46岁,自述左眼视物不清约3个月,CT扫描如图所示,请选择正确的描述或答案 ( )A、考虑视网膜脱离B、考虑玻璃体内出血C、...

作者: rantiku 人气: - 评论: 0
问题 女性,46岁,自述左眼视物不清约3个月,CT扫描如图所示,请选择正确的描述或答案 ( )
选项 A、考虑视网膜脱离 B、考虑玻璃体内出血 C、左侧玻璃体内偏后方见絮状高密度影 D、双侧眼环形态密度正常 E、双侧眼球未见病变
答案 C
解析

猜你喜欢

发表评论
更多 网友评论0 条评论)
暂无评论

访问排行

Copyright © 2012-2014 恰考网 Inc. 保留所有权利。 Powered by tikuer.com

页面耗时0.0381秒, 内存占用1.03 MB, Cache:redis,访问数据库19次