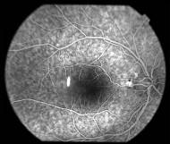
患者,女性,30岁,左眼视力下降1周,检查左眼视力0.8,眼前段(-),眼底检查如图,对该病治疗描述正确的是 ( )A、必要时可行手术...

作者: rantiku 人气: - 评论: 0
问题 患者,女性,30岁,左眼视力下降1周,检查左眼视力0.8,眼前段(-),眼底检查如图,对该病治疗描述正确的是 ( )
选项 A、必要时可行手术 B、可用冷冻治疗 C、血管扩张药可使病程缩短 D、糖皮质激素有效 E、渗漏点距中心凹200um以外,可激光凝固渗漏点
答案 E
解析

猜你喜欢

发表评论
更多 网友评论0 条评论)
暂无评论

访问排行

Copyright © 2012-2014 恰考网 Inc. 保留所有权利。 Powered by tikuer.com

页面耗时0.0431秒, 内存占用1.03 MB, Cache:redis,访问数据库18次