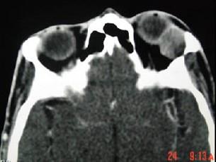
女,36岁,左眼眶外上部可触及一无痛性包块有两年,眼球向内下方突出,CT检查如图,最可能诊断为 ( )A、淋巴瘤B、淋巴瘤样增生C...

作者: rantiku 人气: - 评论: 0
问题 女,36岁,左眼眶外上部可触及一无痛性包块有两年,眼球向内下方突出,CT检查如图,最可能诊断为 ( )
选项 A、淋巴瘤 B、淋巴瘤样增生 C、泪腺恶性上皮性肿瘤 D、炎性假瘤 E、泪腺良性混合瘤
答案 E
解析

猜你喜欢

发表评论
更多 网友评论0 条评论)
暂无评论

访问排行

Copyright © 2012-2014 恰考网 Inc. 保留所有权利。 Powered by tikuer.com

页面耗时0.0342秒, 内存占用1.03 MB, Cache:redis,访问数据库20次