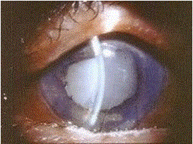
男性,20岁,右眼2天前铁屑溅入并急诊将异物取出,今天突然感觉右眼胀痛。检查角膜伤口长约1MM,已闭合,前房大量晶状体皮质,晶状体混浊(如图)。B超检查示...

作者: rantiku 人气: - 评论: 0
问题 男性,20岁,右眼2天前铁屑溅入并急诊将异物取出,今天突然感觉右眼胀痛。检查角膜伤口长约1MM,已闭合,前房大量晶状体皮质,晶状体混浊(如图)。B超检查示玻璃体部分混浊,眼压40mmHg。最好的治疗方法是( )
选项 A、将晶状体摘除并植入人工晶状体,2期行玻璃体切除术 B、降眼压、抗炎治疗,并将晶状体摘除 C、将晶状体摘除,2期晶状体植入 D、降眼压 E、抗炎、扩瞳
答案 B
解析

猜你喜欢

发表评论
更多 网友评论0 条评论)
暂无评论

访问排行

Copyright © 2012-2014 恰考网 Inc. 保留所有权利。 Powered by tikuer.com

页面耗时0.0297秒, 内存占用1.03 MB, Cache:redis,访问数据库19次