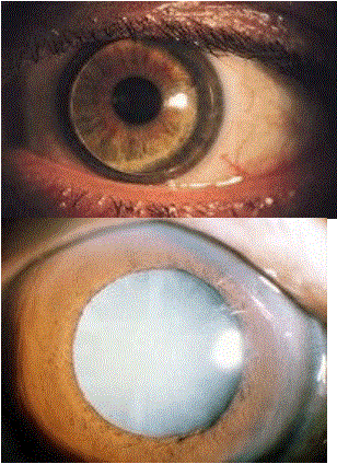
该图最有可能是何种类型的白内障( )A、后发性白内障B、以上都不是C、先天性白内障D、外伤性白内障E、老年性白内障

作者: rantiku 人气: - 评论: 0
问题 该图最有可能是何种类型的白内障( )
选项 A、后发性白内障 B、以上都不是 C、先天性白内障 D、外伤性白内障 E、老年性白内障
答案 E
解析

猜你喜欢

发表评论
更多 网友评论0 条评论)
暂无评论

访问排行

Copyright © 2012-2014 恰考网 Inc. 保留所有权利。 Powered by tikuer.com

页面耗时0.0535秒, 内存占用1.03 MB, Cache:redis,访问数据库20次