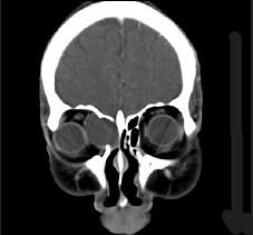
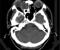
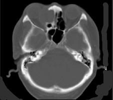
女性,38岁,右侧眼球运动障碍伴眼球突出4个多月,CT扫描如图,请选择正确的描述和答案 ( )A、考虑为右侧筛窦黏液囊肿B、考虑为筛窦...

作者: rantiku 人气: - 评论: 0
问题 女性,38岁,右侧眼球运动障碍伴眼球突出4个多月,CT扫描如图,请选择正确的描述和答案 ( )
选项 A、考虑为右侧筛窦黏液囊肿 B、考虑为筛窦癌 C、囊性肿块向右侧眼眶内突入,压迫内直肌 D、右侧眶内壁呈受压变薄、断裂 E、右侧筛窦内可见囊性肿块影,边缘光整
答案 ACDE
解析

猜你喜欢

发表评论
更多 网友评论0 条评论)
暂无评论

访问排行

Copyright © 2012-2014 恰考网 Inc. 保留所有权利。 Powered by tikuer.com

页面耗时0.0329秒, 内存占用1.03 MB, Cache:redis,访问数据库19次