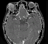
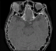
男性,41岁,右侧眶外上方肿胀,可触及无痛性包块,CT及MRI检查如图所示,请选择最可能诊断 ( ) A、泪腺混合瘤B、眶内囊肿C、眶内结核...

作者: rantiku 人气: - 评论: 0
问题 男性,41岁,右侧眶外上方肿胀,可触及无痛性包块,CT及MRI检查如图所示,请选择最可能诊断 ( )
选项 A、泪腺混合瘤 B、眶内囊肿 C、眶内结核 D、眶内炎性假瘤 E、眶内血管瘤
答案 A
解析

猜你喜欢

发表评论
更多 网友评论0 条评论)
暂无评论

访问排行

Copyright © 2012-2014 恰考网 Inc. 保留所有权利。 Powered by tikuer.com

页面耗时0.0389秒, 内存占用1.03 MB, Cache:redis,访问数据库18次