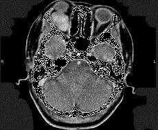
41岁女性,右眼胀痛、眼球外突3月余,体检,发现低头时右侧眼球外突加重,CT检查如图所示,请选择最可能诊断 ( ) A、右侧眶内神经...

作者: rantiku 人气: - 评论: 0
问题 41岁女性,右眼胀痛、眼球外突3月余,体检,发现低头时右侧眼球外突加重,CT检查如图所示,请选择最可能诊断 ( )
选项 A、右侧眶内神经鞘瘤 B、右侧眶内皮样囊肿 C、右侧眶内炎性假瘤 D、眼型格氏病 E、右侧眶内血管瘤
答案 E
解析

猜你喜欢

发表评论
更多 网友评论0 条评论)
暂无评论
错误啦!

错误信息

  • 消息: [程序异常] : MISCONF Redis is configured to save RDB snapshots, but it's currently unable to persist to disk. Commands that may modify the data set are disabled, because this instance is configured to report errors during writes if RDB snapshotting fails (stop-writes-on-bgsave-error option). Please check the Redis logs for details about the RDB error.
  • 文件: /twcms/kongphp/cache/cache_redis.class.php
  • 位置: 第 85 行
    <?php echo 'KongPHP, Road to Jane.'; ?>