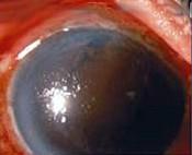
患者,女性,58岁,左眼行闭角型青光眼行小梁切除术,术后第3天诉眼胀痛。检查左眼前房消失(如图),眼压40mmHg。治疗需要 ( )A、扩瞳B、手...

作者: rantiku 人气: - 评论: 0
问题 患者,女性,58岁,左眼行闭角型青光眼行小梁切除术,术后第3天诉眼胀痛。检查左眼前房消失(如图),眼压40mmHg。治疗需要 ( )
选项 A、扩瞳 B、手术 C、降眼压 D、缩瞳 E、激素
答案 ABCE
解析

猜你喜欢

发表评论
更多 网友评论0 条评论)
暂无评论

访问排行

Copyright © 2012-2014 恰考网 Inc. 保留所有权利。 Powered by tikuer.com

页面耗时0.0466秒, 内存占用1.03 MB, Cache:redis,访问数据库17次