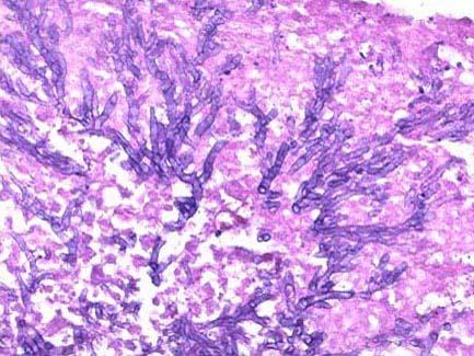
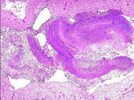
糖尿病患者,男,56岁,反复刺激性咳嗽,咳棕黄色痰半年,纤支镜取活检,镜下如图所示,正确的诊断是 ( )A.肺念珠菌病B.硅肺C.石棉肺 ...

作者: rantiku 人气: - 评论: 0
问题 糖尿病患者,男,56岁,反复刺激性咳嗽,咳棕黄色痰半年,纤支镜取活检,镜下如图所示,正确的诊断是 ( )
选项 A.肺念珠菌病 B.硅肺 C.石棉肺 D.肺放线菌病 E.肺曲菌病
答案 E
解析

猜你喜欢

发表评论
更多 网友评论0 条评论)
暂无评论

访问排行

Copyright © 2012-2014 恰考网 Inc. 保留所有权利。 Powered by tikuer.com

页面耗时0.0633秒, 内存占用1.03 MB, Cache:redis,访问数据库18次