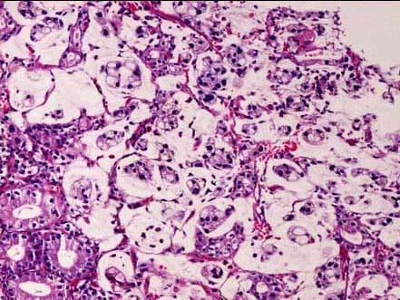
患者男性,42岁,剑突下隐痛3个月。胃镜见胃窦部溃疡,直径2cm,溃疡底不平,有出血。镜检如图所示,最佳病理诊断是 ( )A.腺鳞癌B.中分化腺癌...

作者: rantiku 人气: - 评论: 0
问题 患者男性,42岁,剑突下隐痛3个月。胃镜见胃窦部溃疡,直径2cm,溃疡底不平,有出血。镜检如图所示,最佳病理诊断是 ( )
选项 A.腺鳞癌 B.中分化腺癌 C.管状腺癌 D.未分化癌 E.黏液腺癌
答案 E
解析

猜你喜欢

发表评论
更多 网友评论0 条评论)
暂无评论

访问排行

Copyright © 2012-2014 恰考网 Inc. 保留所有权利。 Powered by tikuer.com

页面耗时0.0450秒, 内存占用1.03 MB, Cache:redis,访问数据库20次