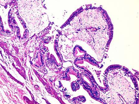
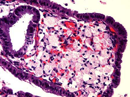
某患者,右上腹痛1小时入院,B超示胆囊肿大,内壁毛糙。手术切除胆囊送检。巨检胆囊7cm×5cm×3cm,腔内含泥沙样结石,内壁粗糙,壁厚0.3cm。镜下观...

作者: rantiku 人气: - 评论: 0
问题 某患者,右上腹痛1小时入院,B超示胆囊肿大,内壁毛糙。手术切除胆囊送检。巨检胆囊7cm×5cm×3cm,腔内含泥沙样结石,内壁粗糙,壁厚0.3cm。镜下观如图,诊断为 ( )
选项 A.慢性胆囊炎 B.慢性胆囊炎并胆固醇息肉形成 C.胆囊癌 D.慢性胆囊炎急性发作 E.以上均不是
答案 B
解析

猜你喜欢

发表评论
更多 网友评论0 条评论)
暂无评论

访问排行

Copyright © 2012-2014 恰考网 Inc. 保留所有权利。 Powered by tikuer.com

页面耗时0.0387秒, 内存占用1.02 MB, Cache:redis,访问数据库14次