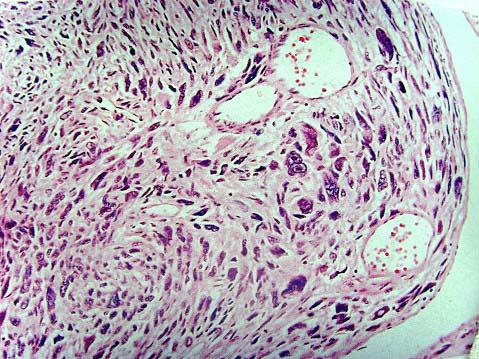
男性,47岁,发现前列腺肿块5cm×5cm×4cm。镜检如图所示肿瘤细胞梭形、卵圆形,异型明显,核分裂易见,5个/10HPF,局灶有坏死。免疫组化示DES...

作者: rantiku 人气: - 评论: 0
问题 男性,47岁,发现前列腺肿块5cm×5cm×4cm。镜检如图所示肿瘤细胞梭形、卵圆形,异型明显,核分裂易见,5个/10HPF,局灶有坏死。免疫组化示DES(+),SMA(+),应诊断为 ( )
选项 A.恶性孤立性纤维性肿瘤 B.平滑肌瘤 C.平滑肌肉瘤 D.纤维瘤 E.纤维肉瘤
答案 C
解析

猜你喜欢

发表评论
更多 网友评论0 条评论)
暂无评论

访问排行

Copyright © 2012-2014 恰考网 Inc. 保留所有权利。 Powered by tikuer.com

页面耗时0.0771秒, 内存占用1.03 MB, Cache:redis,访问数据库13次