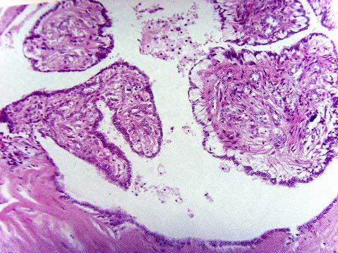
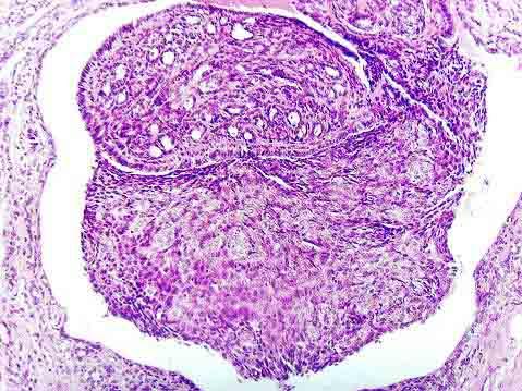
女性,35岁,左侧乳头血性溢液半月余,乳头附近扪及柔软、樱桃大小包块,尚可活动。超声显示肿块界限清楚,低回声结节。手术切除,显微镜下管腔内见树枝状结构,乳...

作者: rantiku 人气: - 评论: 0
问题 女性,35岁,左侧乳头血性溢液半月余,乳头附近扪及柔软、樱桃大小包块,尚可活动。超声显示肿块界限清楚,低回声结节。手术切除,显微镜下管腔内见树枝状结构,乳头和导管共存(如图)。应诊断为 ( )
选项 A.导管内乳头状瘤 B.导管非典型乳头状瘤 C.导管内乳头状癌 D.微浸润癌 E.囊内乳头状癌
答案 A
解析

猜你喜欢

发表评论
更多 网友评论0 条评论)
暂无评论

访问排行

Copyright © 2012-2014 恰考网 Inc. 保留所有权利。 Powered by tikuer.com

页面耗时0.0388秒, 内存占用1.03 MB, Cache:redis,访问数据库14次