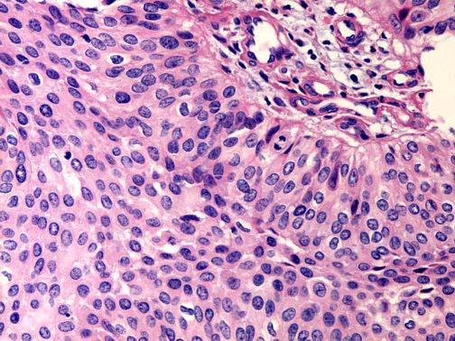
男性,78岁,血尿2年。CT示右侧肾盂内可见软组织密度影,肾盂肾盏受压变形,考虑为肾脏肿瘤,遂行右肾切除,肾脏大体如图所示,镜检如图所示,请做出诊断 ( ...

作者: rantiku 人气: - 评论: 0
问题 男性,78岁,血尿2年。CT示右侧肾盂内可见软组织密度影,肾盂肾盏受压变形,考虑为肾脏肿瘤,遂行右肾切除,肾脏大体如图所示,镜检如图所示,请做出诊断 ( )
选项 A.右肾透明细胞癌Ⅰ级 B.右肾透明细胞癌Ⅱ级 C.右肾盂移行细胞癌Ⅰ级 D.右肾盂移行细胞癌Ⅱ级 E.右肾盂移行细胞癌Ⅲ级
答案 D
解析

猜你喜欢

发表评论
更多 网友评论0 条评论)
暂无评论

访问排行

Copyright © 2012-2014 恰考网 Inc. 保留所有权利。 Powered by tikuer.com

页面耗时0.0339秒, 内存占用1.03 MB, Cache:redis,访问数据库18次