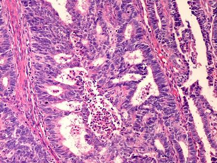
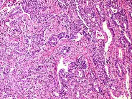
女性,64岁,绝经后阴道不规则流血伴下腹疼痛,取子宫内膜组织病检,显微镜下见腺上皮呈复层排列,部分筛孔状,细胞大小不一,核仁明显,核分裂像多见并可见坏死(...

作者: rantiku 人气: - 评论: 0
问题 女性,64岁,绝经后阴道不规则流血伴下腹疼痛,取子宫内膜组织病检,显微镜下见腺上皮呈复层排列,部分筛孔状,细胞大小不一,核仁明显,核分裂像多见并可见坏死(如图),应诊断为 ( )
选项 A.子宫内膜单纯性增生 B.子宫内膜复杂性增生 C.宫内膜单纯性增生伴非典型增生 D.子宫内膜复杂性增生伴非典型增生 E.子宫内膜腺癌
答案 E
解析

猜你喜欢

发表评论
更多 网友评论0 条评论)
暂无评论

访问排行

Copyright © 2012-2014 恰考网 Inc. 保留所有权利。 Powered by tikuer.com

页面耗时0.0377秒, 内存占用1.03 MB, Cache:redis,访问数据库20次