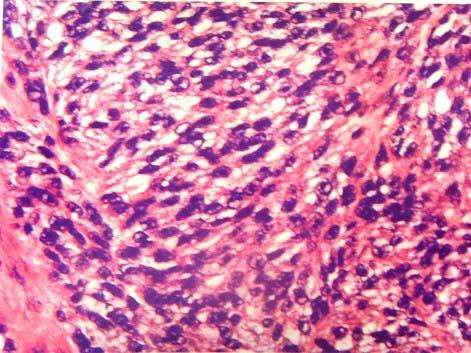
女性,41岁,宫颈管内见一赘生物,无色,表面有溃疡,摘除送检,显微镜下见肿瘤细胞呈梭形、上皮样,核大,核仁明显,胞质内有黑色素颗粒(如图)。免疫组化示S-...

作者: rantiku 人气: - 评论: 0
问题 女性,41岁,宫颈管内见一赘生物,无色,表面有溃疡,摘除送检,显微镜下见肿瘤细胞呈梭形、上皮样,核大,核仁明显,胞质内有黑色素颗粒(如图)。免疫组化示S-100(+)、HMB45(++)。最有可能的诊断为 ( )
选项 A.恶性黑色素瘤 B.鳞状细胞癌 C.癌肉瘤 D.肉瘤 E.尖锐湿疣
答案 A
解析

猜你喜欢

发表评论
更多 网友评论0 条评论)
暂无评论

访问排行

Copyright © 2012-2014 恰考网 Inc. 保留所有权利。 Powered by tikuer.com

页面耗时0.0364秒, 内存占用1.03 MB, Cache:redis,访问数据库19次