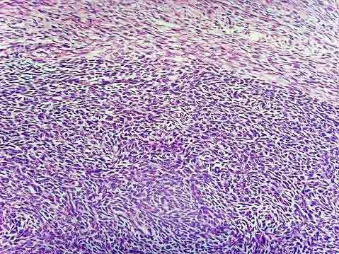
女性,28岁,因下腹不适检查,扪及下腹部包块,行子宫切除术。大体见子宫肌壁间灰白、灰黄结节,直径2cm,边缘清楚。显微镜下见肿瘤细胞大小较一致,染色均匀,...

作者: rantiku 人气: - 评论: 0
问题 女性,28岁,因下腹不适检查,扪及下腹部包块,行子宫切除术。大体见子宫肌壁间灰白、灰黄结节,直径2cm,边缘清楚。显微镜下见肿瘤细胞大小较一致,染色均匀,核分裂像少见,3个/10HP,肿瘤富于血管,无血管浸润。免疫组化DES(-)、CD10(+)。应诊断为 ( )
选项 A.子宫平滑肌瘤 B.子宫平滑肌肉瘤 C.子宫未分化肉瘤 D.子宫内膜间质结节 E.子宫内膜间质肉瘤
答案 D
解析

猜你喜欢

发表评论
更多 网友评论0 条评论)
暂无评论

访问排行

Copyright © 2012-2014 恰考网 Inc. 保留所有权利。 Powered by tikuer.com

页面耗时0.0670秒, 内存占用1.02 MB, Cache:redis,访问数据库14次