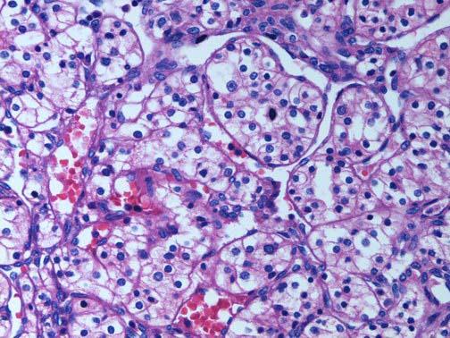
女性,50岁。B超发现右肾上极肿物。CT平扫示右肾上极混杂密度肿物,中心呈高密度;增强扫描后病灶强化,形态规则。考虑为右肾肿瘤,患肾切除后镜检如图所示,正...

作者: rantiku 人气: - 评论: 0
问题 女性,50岁。B超发现右肾上极肿物。CT平扫示右肾上极混杂密度肿物,中心呈高密度;增强扫描后病灶强化,形态规则。考虑为右肾肿瘤,患肾切除后镜检如图所示,正确的诊断为 ( )
选项 A.右肾透明细胞癌Ⅰ级 B.右肾透明细胞癌Ⅱ级 C.右肾乳头状腺癌 D.右肾颗粒细胞癌 E.右肾错构瘤
答案 B
解析

猜你喜欢

发表评论
更多 网友评论0 条评论)
暂无评论

访问排行

Copyright © 2012-2014 恰考网 Inc. 保留所有权利。 Powered by tikuer.com

页面耗时0.0392秒, 内存占用1.03 MB, Cache:redis,访问数据库20次