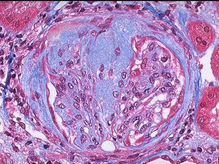
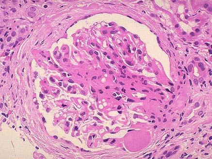
患者女性,25岁,周身高度水肿伴腹水。尿蛋白(+++),24小时尿蛋白>3.5g,合并高脂血症,血浆蛋白<30g/L,肾穿刺活检HE染色镜下如图、Mass...

作者: rantiku 人气: - 评论: 0
问题 患者女性,25岁,周身高度水肿伴腹水。尿蛋白(+++),24小时尿蛋白>3.5g,合并高脂血症,血浆蛋白<30g/L,肾穿刺活检HE染色镜下如图、Masson染色如图所示,应首先考虑的诊断为 ( )
选项 A.膜性增生性肾小球肾炎 B.系膜增生性肾小球肾炎 C.轻微病变性肾小球肾炎 D.局灶性节段性肾小球硬化 E.膜性肾病
答案 D
解析

猜你喜欢

发表评论
更多 网友评论0 条评论)
暂无评论

访问排行

Copyright © 2012-2014 恰考网 Inc. 保留所有权利。 Powered by tikuer.com

页面耗时0.0487秒, 内存占用1.03 MB, Cache:redis,访问数据库19次