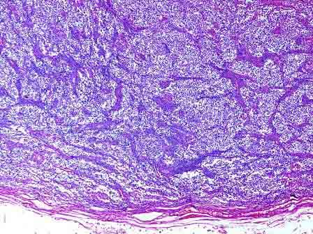
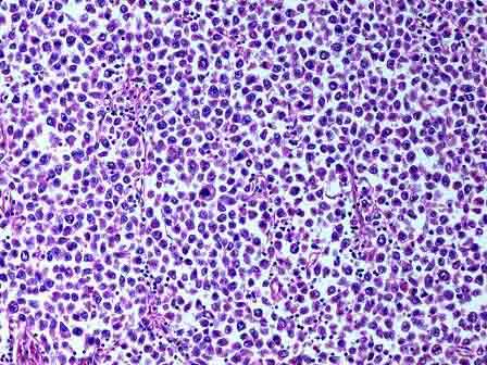
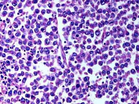
男性,57岁,因左侧睾丸进行性肿大行睾丸切除。大体见肿瘤切面呈鱼肉状,境界清楚,米黄色,质均,略呈分叶状(如图)。镜下见形态单一的细胞群被薄层纤维血管带分...

作者: rantiku 人气: - 评论: 0
问题 男性,57岁,因左侧睾丸进行性肿大行睾丸切除。大体见肿瘤切面呈鱼肉状,境界清楚,米黄色,质均,略呈分叶状(如图)。镜下见形态单一的细胞群被薄层纤维血管带分成小叶状,肿瘤细胞体积大,大小一致,胞浆丰富透明,细胞膜清楚(如图),免疫组化染色PLAP(+)。应诊断为 ( )
选项 A.睾丸精原细胞瘤 B.睾丸胚胎性癌 C.睾丸未分化畸胎瘤 D.睾丸间质细胞瘤 E.睾丸精原母细胞瘤
答案 A
解析

猜你喜欢

发表评论
更多 网友评论0 条评论)
暂无评论

访问排行

Copyright © 2012-2014 恰考网 Inc. 保留所有权利。 Powered by tikuer.com

页面耗时0.0356秒, 内存占用1.03 MB, Cache:redis,访问数据库16次