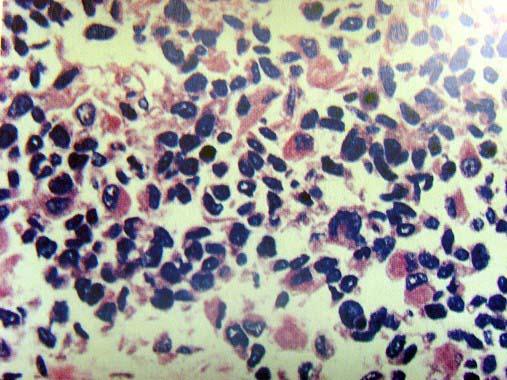
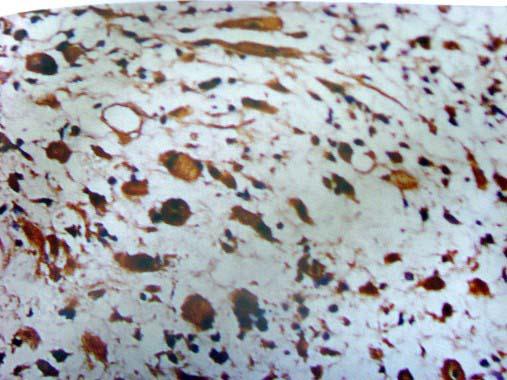
尸检4岁男童,前列腺肿大,显微镜下如图,免疫组化DES(+),MyoD1(+)(如图),应最先考虑诊断为 ( )A.小细胞癌B.胚胎性横纹肌肉...

作者: rantiku 人气: - 评论: 0
问题 尸检4岁男童,前列腺肿大,显微镜下如图,免疫组化DES(+),MyoD1(+)(如图),应最先考虑诊断为 ( )
选项 A.小细胞癌 B.胚胎性横纹肌肉瘤 C.平滑肌肉瘤 D.平滑肌瘤 E.未分化腺癌
答案 B
解析

猜你喜欢

发表评论
更多 网友评论0 条评论)
暂无评论

访问排行

Copyright © 2012-2014 恰考网 Inc. 保留所有权利。 Powered by tikuer.com

页面耗时0.0530秒, 内存占用1.03 MB, Cache:redis,访问数据库18次