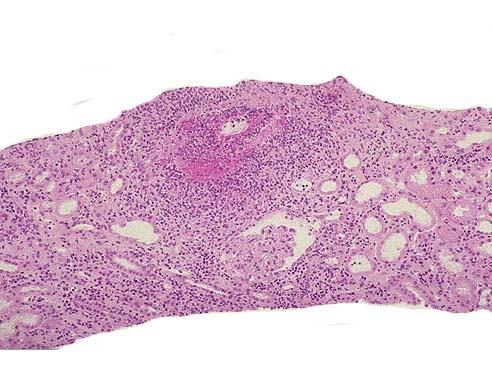
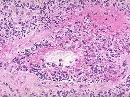
韦格氏肉芽肿患者病变部位镜下可出现如图所示改变,下列关于该病说法错误的是 ( )A.30~50岁多见,男性略多B.在动脉壁、动脉周围或血管外部...

作者: rantiku 人气: - 评论: 0
问题 韦格氏肉芽肿患者病变部位镜下可出现如图所示改变,下列关于该病说法错误的是 ( )
选项 A.30~50岁多见,男性略多 B.在动脉壁、动脉周围或血管外部区域出现肉芽肿炎症 C.多数患者出现不同程度的肾小球肾炎 D.肾脏病变常为局灶坏死性肾小球肾炎伴新月体形成 E.严重者可引起急性肾功能衰竭
答案 E
解析

猜你喜欢

发表评论
更多 网友评论0 条评论)
暂无评论

访问排行

Copyright © 2012-2014 恰考网 Inc. 保留所有权利。 Powered by tikuer.com

页面耗时0.0495秒, 内存占用1.03 MB, Cache:redis,访问数据库19次