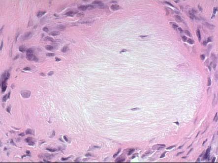
尿酸性肾病患者其肾脏表现如图,关于该疾病下列说法错误的是 ( )A.在痛风患者中发生的比例很少B.在肾髓质及乳头处可见尿酸盐结晶C.可形成...

作者: rantiku 人气: - 评论: 0
问题 尿酸性肾病患者其肾脏表现如图,关于该疾病下列说法错误的是 ( )
选项 A.在痛风患者中发生的比例很少 B.在肾髓质及乳头处可见尿酸盐结晶 C.可形成尿酸性尿路结石 D.有慢性间质性肾炎改变 E.临床上可有肾功能不全的表现
答案 A
解析

猜你喜欢

发表评论
更多 网友评论0 条评论)
暂无评论

访问排行

Copyright © 2012-2014 恰考网 Inc. 保留所有权利。 Powered by tikuer.com

页面耗时0.0360秒, 内存占用1.03 MB, Cache:redis,访问数据库16次