患者男性,67岁,鼻塞,鼻衄8个月,鼻腔镜见鼻咽顶部黏膜粗糙,触之易出血。病理活检镜下观如图:肿瘤细胞弥漫性增生,瘤细胞形态单一,胞浆少,核形不规则,染色...

作者: rantiku 人气: - 评论: 0
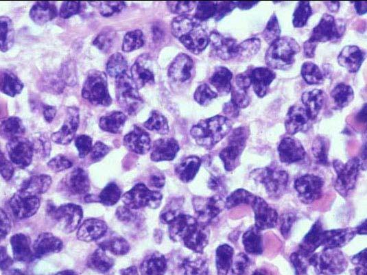
问题 患者男性,67岁,鼻塞,鼻衄8个月,鼻腔镜见鼻咽顶部黏膜粗糙,触之易出血。病理活检镜下观如图:肿瘤细胞弥漫性增生,瘤细胞形态单一,胞浆少,核形不规则,染色质粗而致密,核分裂像易见。免疫组化肿瘤细胞表达CD20、CD79α、CD5、bcl-1阳性。综合所见应首先考虑何种疾病 ( )
选项 A.小淋巴细胞形淋巴瘤 B.套细胞淋巴瘤 C.滤泡性淋巴瘤 D.黏膜相关淋巴组织淋巴瘤 E.鼻咽癌
答案 B
解析

猜你喜欢

发表评论
更多 网友评论0 条评论)
暂无评论

访问排行

Copyright © 2012-2014 恰考网 Inc. 保留所有权利。 Powered by tikuer.com

页面耗时0.0400秒, 内存占用1.03 MB, Cache:redis,访问数据库19次