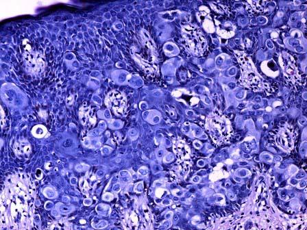
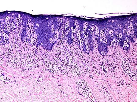
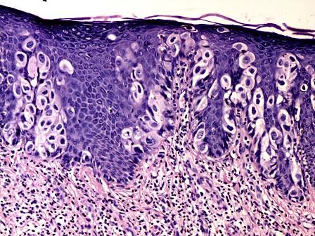
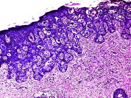
女性,30岁,乳头呈湿疹样。手术切除,镜下表皮内可见非典型细胞增生,细胞呈小簇状分布,中央密集(如图)。最有可能的诊断为 ( )A.乳头派...

作者: rantiku 人气: - 评论: 0
问题 女性,30岁,乳头呈湿疹样。手术切除,镜下表皮内可见非典型细胞增生,细胞呈小簇状分布,中央密集(如图)。最有可能的诊断为 ( )
选项 A.乳头派杰病 B.恶性黑色素瘤 C.鳞癌 D.乳头腺瘤 E.汗管瘤样腺瘤
答案 A
解析

猜你喜欢

发表评论
更多 网友评论0 条评论)
暂无评论

访问排行

Copyright © 2012-2014 恰考网 Inc. 保留所有权利。 Powered by tikuer.com

页面耗时0.0369秒, 内存占用1.03 MB, Cache:redis,访问数据库20次